Волшебная синемаграфия в рекламе оправ от Армани.
Фотограф Джейми Бек и моушн-дизайнер Кевин Бург...
Последние сообщения
Обсуждаемые Популярные
В этой статье мы познакомимся с другим лазером для коррекции зрения — Amaris 500E от фирмы Schwind. ...
Основатели стартапа Oriense создали «навигатор» для слабовидящих и незрячих, который позволяет ори...
Говорят, что до 90% информации человек получает через органы зрения, а это значит, что слепые в ...
Вместо вступления
Глаз — сложнейший оптический инструмент, созданный природой. Человек во многом ...
Глаз — сложнейший оптический инструмент, созданный природой. Человек во многом ...
Полгода назад я решилась и сделала лазерную коррекцию зрения. Я хочу рассказать, зачем это сделала, ...
Группы блогов
Облако тегов
Последние комментарии
Верно, в рублях
У этой картинки наибольший эффект будет при просмотре ее сек 30 не отрываясь, а потом посмотреть на ...
эта цена в рублях?
последняя программа отлично подойдет для розыгрышей - поставить шэфу и наблюдать, как каждые 10 мину...
Если есть, чем дополнить список, пишите в комментариях.
Если есть, чем дополнить список, просьба писать в комментариях.
Новые Популярные блоги
Выкладываю интересные статьи и новости офтальмологии
глазные болезни
Синдром сухого глаза – это нарушение увлажнения роговицы, в результате чего она пересыхает и утрачив...
родителям
Амблиопия одна из самых распространенных причин снижения зрения. В развитых странах около одного про...
технологии
На протяжении последнего десятилетия ученые разрабатывают «умные линзы». Сферы применения у них могу...
пациентам
Кожа вокруг глаз тонкая, нежная и чувствительная.Из-за особенности анатомического расположения глаз ...
подходы к лечению
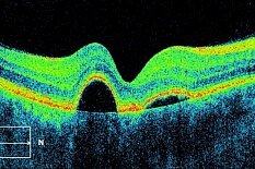
Одним из заболеваний макулярной области сетчатки, приводящим к снижению зрения, является ...
диабетическая ретинопатия
Диабетическая ретинопатия (ДР) является распространенным сосудистым проявлением сахарного ди...
пациентам
Благодаря глазам, этим удивительным органам, мы обладаем уникальной возможностью – видеть все вокруг...
советы
В чем секрет долгой и здоровой жизни? Все долгожители имеют свои собственные рецепты — от бокала вис...
партнеры
|
|
|



















